1.实验室研究工作进展情况
(1)天然气水合物流动、传热及开采技术研究
?天然气水合物在多孔介质中的生长方式和赋存规律可视化研究
天然气水合物生长特性对水合物饱和度的估算,渗透率,孔隙度以及有关水合物计算模拟等方面研究的作用日益加强, 对水合物生长特性在线可视化分析具有着重要的意义,而目前对水合物的
生长特性可视化研究相对较少。对此本研究以天然气水合物能源利用为背景,以解明沉积层多孔介质中水合物生长特性规律为目的。利用核磁共振成像可视化实验系统,研究分析沉积层多孔
介质中天然气水合物生长过程与富集规律,获得天然气水合物储层结构特性参数,为判定沉积层中天然气水合物分布规律提供依据。目前已申请并承担国家“973”计划项目
“我国天然气水合物富集规律与开采基础研究”、教育部科学研究重大项目“自然条件下的天然气水合物基础物性研究”、新世纪优秀人才支持计划“堆积层中天
然气水合物的形成与分解特性及其对渗透率影响的研究”等项目,针对沉积层多孔介质中天然气水合物生长过程与赋存规律等问题开展研究.
以上研究项目研究内容针对目前沉积层中天然气水合物合成研究中存在的科学问题,利用动态可视化技术对沉积层中天然气水合物形成过程进行直接观测,分别获取四氢呋喃、二氧化碳、甲
烷水合物在多孔介质中的生长方式与赋存形式,本项目对于沉积层中天然气水合物生长过程的研究,特别是对于含天然气水合物沉积层结构的可视化研究,将为目前的天然气水合物模拟实验
开采和未来工程开采提供重要的水合物沉积物储层特性参数与数据,为未来天然气水合物资源的安全、高效开采奠定基础。
?沉积层多孔介质中天然气水合物分解规律研究
天然气水合物资源开采过程,天然气水合物将在沉积层多孔介质中分解,其分解过程涉及沉积层储层特性变化、水合物相态变化、以及分解水、气在沉积层多孔介质中的迁移流动,相态、组
分、流动以及多孔介质结构等因素共同影响决定着天然气水合物在沉积层中的分解规律。本项目研究,以我国天然气水合物资源开采利用为背景,以研究沉积层多孔介质中天然气水合物分解
规律为目的,在已开展的天然气水合物形成与分解技术研究的基础上,利用核磁共振成像可视化实验系统,结合已开发的沉积层天然气水合物的形成与分解特性实验装置,研究分析降压开采
过程,天然气水合物分解沉积层孔隙度、渗透率以及饱和度等储层特性变化规律,分析沉积层多孔介质中气水迁移规律,获得沉积层多孔介质结构以及多相多组分对于天然气水合物分解过程
的影响,掌握沉积层多孔介质中天然气水合物分解规律。本研究目前已申请并承担了国家科技重大专项“深水流动安全保障与水合物风险控制技术”、国家“863”计划
重大项目“天然气水合物勘探开发关键技术”。
本研究针对沉积层中天然气水合物分解过程涉及的储层特性变化、相态组分变化、以及流动迁移等关键科学问题展开,项目研究过程利用先进的动态可视化核磁共振技术结合水合物分解实验
研究方法对沉积层中天然气水合物分解过程进行直接观测与间接测量,综合分析沉积层多孔介质中天然气水合物分解过程,项目研究将可以获得天然气水合物开采过程水合物分解引起的沉积
物储层特性变化规律,为水合物开采安全分析提供数据依据和技术保障;同时通过在线直接监测水合物分解水气迁移规律,为分析开采过程中产气率以及饱和水对于分解效率的影响提供依据
;项目研究并最终阐明天然气水合物开采过程,相变条件下沉积物多孔介质中多相、多组分、气水渗流与孔隙结构对于天然气水合物分解的影响规律,为天然气水合物资源的开采提供重要依
据。
?沉积层中CO2乳化液强化置换开采天然气水合物研究
目前,天然气水合物环境、生态友好的安全高效开采是天然气水合物资源利用中面临的关键问题,本研究以此为背景,研究沉积层中CO2乳化液强化置换天然气水合物过程,利用目前先进的
水合物核磁共振实验平台,设计开发核磁脉冲序列,建立适用于沉积层中CO2乳化液置换天然气水合物的微观可视化实验方法,研究沉积层中多相渗流、温度分布以及压力等因素对于置换过程
的影响。采用分子动力学-相区场多尺度模拟,研究含水合物沉积层中分子扩散与界面特性因素对于强化置换的影响,并与实验测试结果进行对比,理论结合实验综合分析揭示沉积层中CO2乳
化液强化置换天然气水合物机理。本研究将为CO2乳化液置换开采天然气水合物资源提供重要的实验与理论支持依据,对于未来确保环境、生态效益的安全高效利用天然气水合物具有重要意义
。本研究已申请国家自然科学基金“沉积层中乳化液强化置换天然气水合物机理研究”等项目。
?天然气水合物合成与分解过程中传热特性研究
针对目前天然气水合物热开采过程中所遇到的多组分、相变、等复杂传热问题,我们展开了对天然气水合物生成分解过程传热特性研究。一方面,本研究基于实验室的大尺寸反应釜,搭建一
套利用热敏电阻获取水合物合成与分解过程中的三维温度场和热导率等热物性参数,首先利用大容积布置热敏电阻,测量出水合物合成与分解三维的温度场、温度梯度、热导率、热扩散系数
等,并分析出水合物分解前沿,联系温度场与温度梯度、电导率与热导率的关系,深入分析水合物分解过程中含相变的传热特性。另一方面,我们正在研究利用核磁共振系统获取水合物的三
维温度分布,通过其他领域研究成果引荐,实现直接获得三维温度分布的脉冲序列,对天然气水合物合成与分解过程的传热特性进行在线可视化研究。沉积层多孔介质中含相变水合物传热特
性的研究将对天然气水合物热开采过程有着重要的实用价值和意义。目前该研究已申请并承担了国家自然科学基金“冻土地域天然气水合物热力学特性的基础研究”、国家
“863”计划重点项目“天然气水合物勘探与开发新技术新方法预研究”等项目。
?降压法天然气水合物分解模拟
针对多孔介质中的甲烷水合物进行降压分解数值模拟研究。考虑水、气、水合物三相,水、气、水合物三组分,根据质量守恒和能量守恒原理,考虑水合物在多孔介质中的生成分解动力学和
热力学,建立了基于二维轴对称的甲烷水合物分解数学模型,考虑在水合物在分解过程中各相的质量守恒、能量守恒和动量守恒,引入水合物反应动力学、渗透率变化规律、以及毛细压力等
,采用全隐式有限差分数值方法进行求解计算。通过与当前通用模型的比较,发现与Masuda渗透率模型拟合较好。对实验室尺度下多孔介质中甲烷水合物降压分解进行了影响因素敏感性分析
。本研究将为水合物在多孔介质中的生成和分解方面的研究提供重要的理论支持依据,对于数值模拟方法研究水合物降压分解特性和敏感性影响因素具有重要意义。
2.取得的主要学术成就
(1)天然气水合物流动、传热及开采技术研究领域
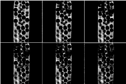
天然气水合物在多孔介质中的生长方式和赋存规律可视化研究方面:获得了四氢呋喃和二氧化碳水合物在多孔介质中合成与分解三维动态结构图如图(1,2)所示,利用
核磁共振系统信号强度得出水合物饱和度变化等数据。气体水合物饱和度较液体水合物饱和度明显降低,但气体过饱和的部分饱和度相近气体水合物的结构受到饱和度影响,饱和度低时结晶
成丝状,饱和度中等时呈团絮状,饱和度高时结构近似粘结型如图3所示。同时研究发现多孔介质粒径对水合物的生长动力有着显著的影响,多孔介质粒径越小,水合物成核越快,生长越快,
如图4,5所示。以上研究发表在“Magnetic Resonance Imaging”(JiafeiZhao,et al.2011: 29(2):281-288、“International Conference on Ocean Offshore and Arctic
Engineering”(Yao Lei, et al.OMAE 2010.)。

图1 二维四氢呋喃水合物生长核磁共振成像图

图2 三维四氢呋喃水合物生长核磁共振成像图

图3 二氧化碳水合物生长核磁共振成像图

图4 四氢呋喃水合物在不同粒径多孔介质中生长过程核磁共振图像

图5 四氢呋喃水合物在不同粒径多孔介质中完全生长时间
沉积层中CO2乳化液强化置换开采天然气水合物研究: 利用水合物二次生成实验装置,采用“定容法”对Ⅰ型。(甲烷、
二氧化碳)、Ⅱ型(丙烷)结构水合物的二次生成进行了实验,研究了不同水合物(I型、II型)彼此间的记忆效应,研究发现水合物生成过程存在明显的诱导期,I型结构水合物间在二次生
成过程中存在着记忆效应,I型与II型结构水合物之间在相互二次生成过程中存在着显著的记忆效应,如图6,7所示。以上研究发表“物理化学学报”和International Conference
on Cooling and Heating Technologies (ChangsongGuoet al.ICGH. 2010)。

图6甲烷水合物分解水生成二氧化碳水合物
与二氧化碳水合物生成压力对比

图7二氧化碳水合物分解水生成甲烷水合物
与甲烷水合物一次生成的压力对比曲线
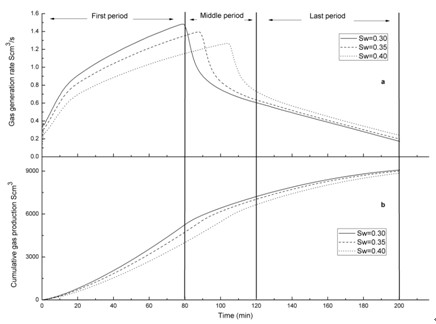
降压法天然气水合物分解模拟研究:通过已有的实验数据对数值计算结果进行对比和验证,分析和证明数学模型的正确性和有效性。计算不同时刻,温度、压力,水气水
合物三相饱和度的分布图,见图八至图十一。利用建立的数学模型考察在水相在天然气水合物分解产气率和累集产气量的影响。初始水的饱和度为0.30, 0.35, 0.40时的瞬时产气量即累计产
气量,从图十二中可以看出初始水的饱和度高,对80分钟以前的瞬时产气量不利,而后期则有利。从累计产气量上看,初始饱和度低有利于降压法天然气水合物分解。

图八60分钟时水合物的饱和度分布

图九60分钟时水的饱和度分布

图十60分钟时压力分布

图十一60分钟时温度分布

图十二初始水的饱和度为0.30, 0.35, 0.40时初始水饱和度对应瞬时产气量即累计产气量